• 프리미엄 경제신문 이투데이
    프리미엄 경제신문 이투데이
    1. 마켓
    2. 금융
    3. 부동산
    4. 산업
    5. 경제
    6. 국제
    7. 정치
    8. 사회
    9. 오피니언
    10. 문화·라이프
    11. 뉴스발전소
    12. 이투데이TV

  • ~
  • 한성주
    한성주 기자바이오혁신부
    hsj@etoday.co.kr
  • 헬스케어 산업계를 취재합니다.

검색결과 총2,553건

최신순 정확도순
헬스케어 산업에 스며든 AI…업무 효율화에 ‘원격·자율 수술’까지
세브란스병원 연구진 “전립선암 약물 치료 효과 예측 가능”
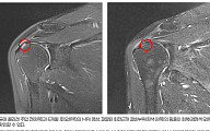
힘찬병원, 회전근개 부분 파열 ‘콜라겐 주입’ 치료 효과 분석
삼성서울병원 연구팀, 국내 최초 간암 양성자 치료 2000례 분석
셀트리온 “美 CMS 개정안 따라 주력 제품 현지 영향력 확대 청신호”
순천향대 서울병원 “수혈 거부 산모, 환자혈액관리(PBM)로 안전하게 출산”
조 단위 벌어들인 제약사들, R&D는 ‘찔끔’…전쟁·약가 리스크 상존
간호·간병통합 도입 더딘 이유 ‘이것’…“인력·수가 체계 고쳐야”
세브란스병원, 국내 최연소·최저 체중 환아 좌심실보조장치 삽입 수술 성공
한국희귀·난치성질환연합회, 바야다홈헬스케어와 돌봄 업무협약
더보기

넥스블록

네이버·두나무 합병 속도…내주 이사회서 주식교환 안건 상정
  • 마켓
    공시
    시황
    시세
    특징주
    투자전략
    채권/펀드
    환율
    국제시황
    일반
  • 금융
    금융정책
    은행
    보험
    2금융
    카드
    가상자산/핀테크
    일반
  • 부동산
    시장동향
    업계
    정책
    분양
    일반
  • 산업
    재계
    전자/통신/IT
    자동차
    중화학
    항공/물류
    유통
    의료/바이오
    중기/벤처
    일반
  • 경제
    경제정책
    경제지표
    생활경제
    일반
  • 국제
    국제경제
    국제일반
    미국
    중국
    아시아
    유럽/중동
  • 정치
    대통령실/총리실
    국회/정당
    국방/외교
    정책
    일반
  • 사회
    법조
    교육
    사건/사고
    노동/취업
    전국
    인사/부음
    동정
    오비추어리
    일반
  • 오피니언
    논현논단
    논현광장
    시론
    AI 만평
    데스크 시각
    마감 후
    칼럼
    노트북 너머
    이슈n인물
  • 문화·라이프
    관광
    방송/TV
    영화
    음악
    공연/출판
    스포츠
    일반
  • 뉴스발전소
    이슈크래커
    요즘, 이거
    그래픽스
    한 컷
  • 이투데이TV
    e스튜디오
    랭킹영상
  • 스페셜리포트
  • Channel 5
  • 위너스IR클럽
무단전재 및 수집, 복사, 재배포, AI학습 이용 금지
Copyright 2006. 이투데이. All rights reserved
회사소개 PC버전 사이트맵