뇌동맥류 환자 급증

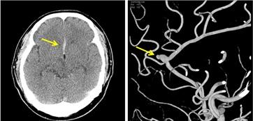
▲뇌동맥류파열.(좌)출혈부위 CT 사진 (우) 뇌동맥류 촬영 사진(국민건강보험 제공)
‘뇌동맥류’ 환자가 6년 새 3배 넘게 급증한 것으로 조사됐다.
지난 15일 국민건강보험공단에 따르면 뇌동맥류와 뇌출혈 등 뇌혈관질환으로 병원을 찾은 환자는 2007년 8만3000명에서 지난해 11만8000명으로 1.4배 증가했다.
특히 이 가운데 뇌동맥류 환자는 지난 2007년 1만2446명에서 지난해 3만9603명으로 3.2배 증가했다.
계절별로는 6년 평균 겨울철(12∼2월) 환자가 5만8738명으로 가장 많았고, 이어 가을(9∼11월) 5만3462명, 여름(6∼8월) 5만2542명, 봄(3∼5월) 5만2522명 등의 순으로 나타났다.
연령별로는 지난해 기준 50대(27.2%), 60대(25.6%), 70대(22.0%) 등 중고령층이 대부분을 차지했다.
양국희 건보공단 일산병원 신경외과 전문의는 “추운 날씨에 혈관이 수축돼 혈압이 급격히 오르는 겨울철에 환자가 많이 발생하는 만큼 각별한 주의가 필요하다”고 전했다.
뇌동맥류 환자 급증을 접한 네티즌은 “뇌동맥류 환자 급증, 조심해야겠다”,“뇌동맥류 환자 급증, 겨울이 무섭구나”,“뇌동맥류 환자 급증, 고령층이 많구나”라는 등 다양한 반응을 보였다.











